Smile Gallery
At Drs. Browning, Pafford, and Flores, we specialize in providing comprehensive dental solutions to address various oral health concerns and help you achieve the smile transformation you’ve always desired. Explore the images below and use the sliders to witness the remarkable results experienced by our satisfied patients.
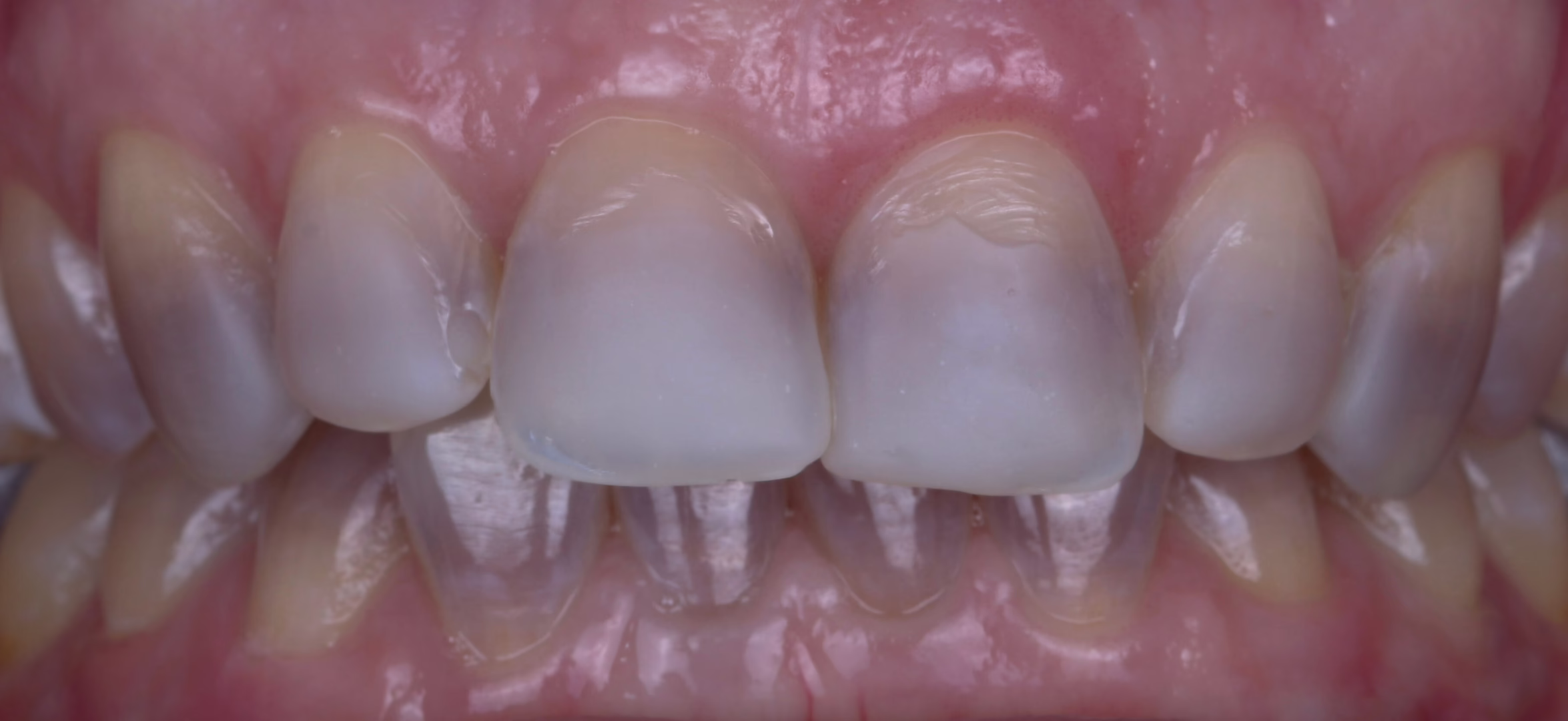
Composite Veneers
Composite veneers improve the appearance of chipped, stained, or slightly misaligned teeth using a tooth-colored resin that is carefully sculpted directly onto the tooth. This cosmetic option can quickly enhance the shape and color of your smile.
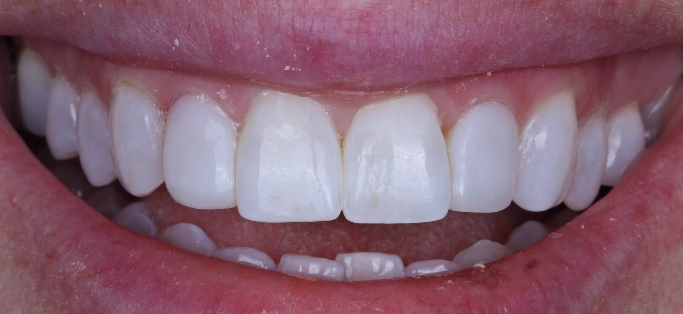
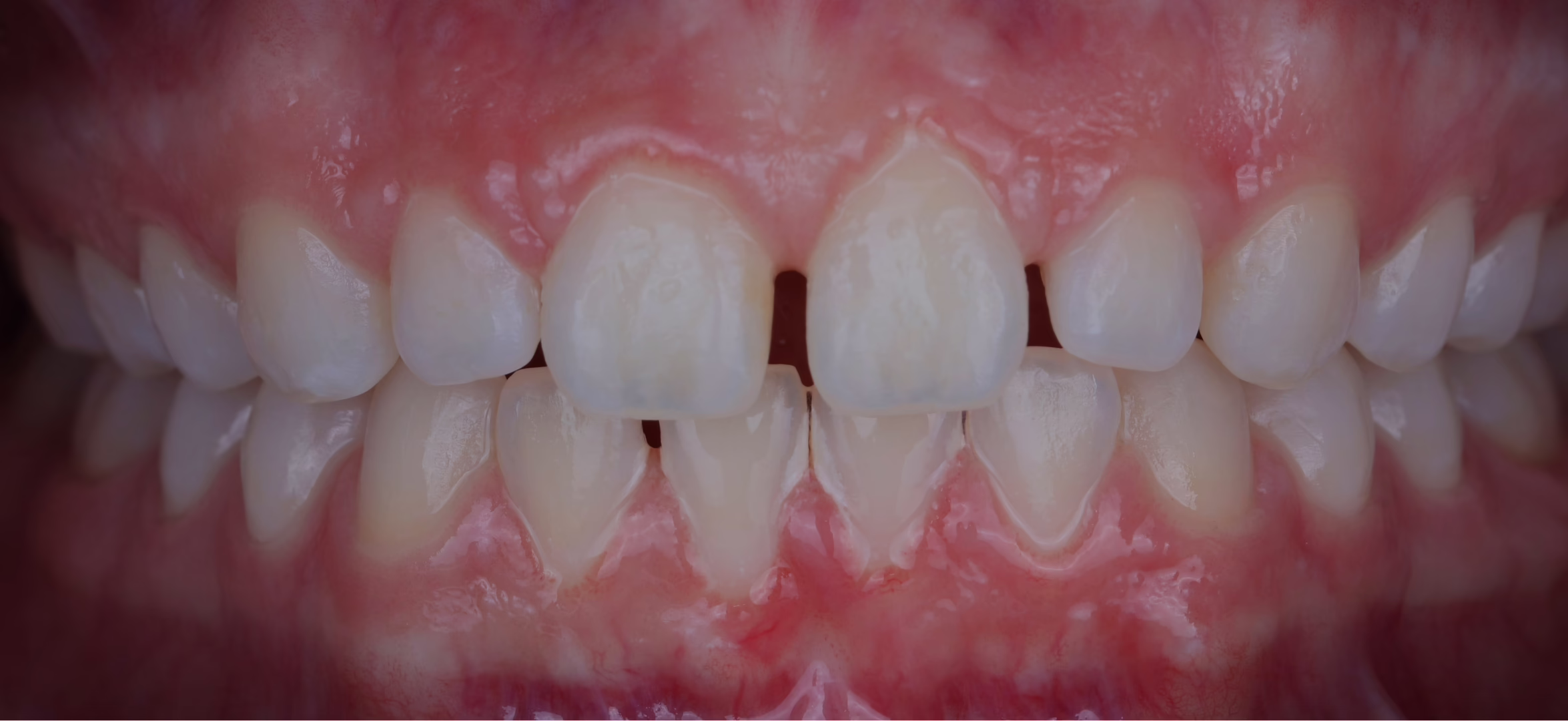
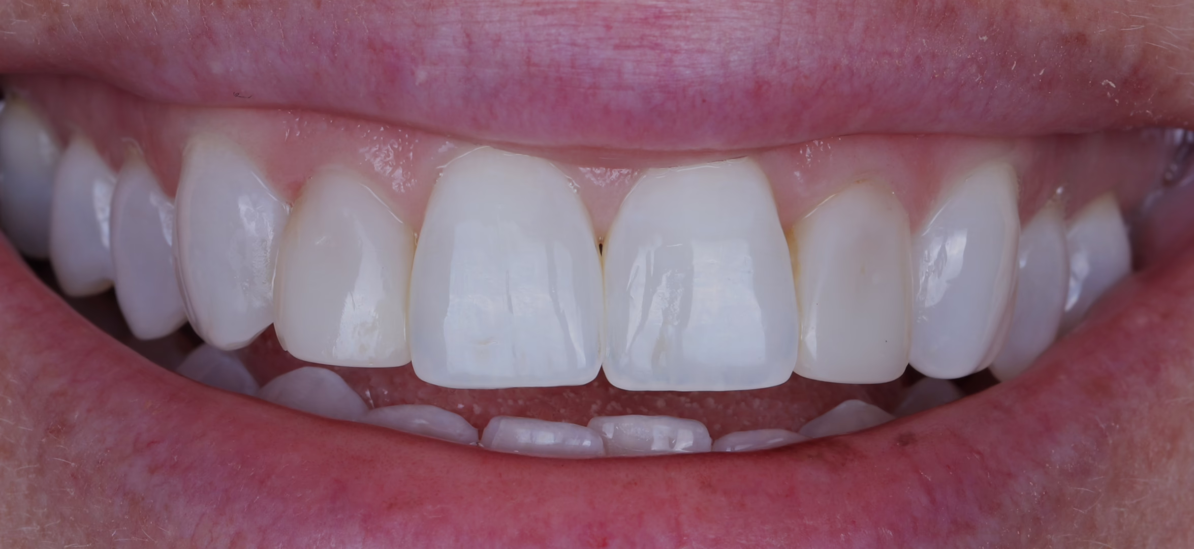
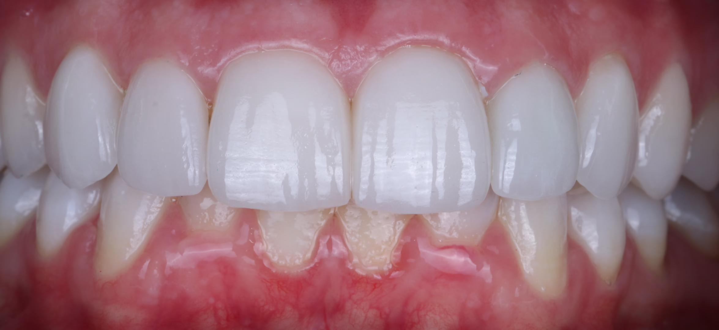
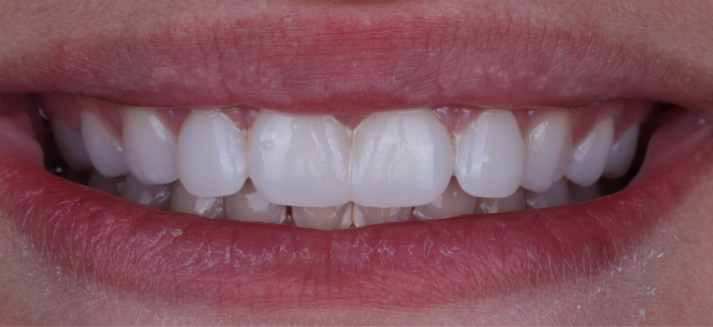
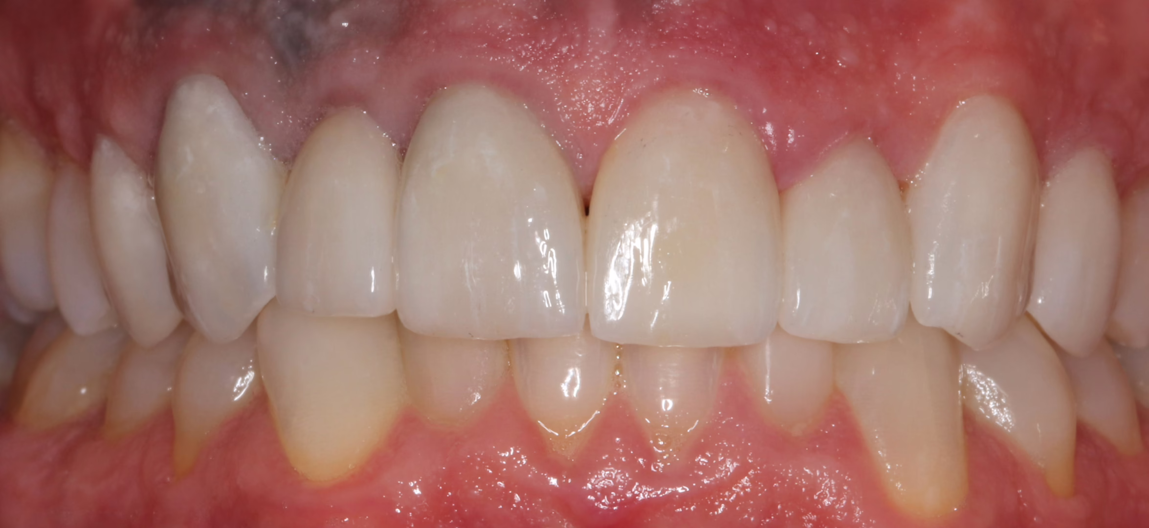
Porcelain Veneers
Porcelain veneers are thin, custom-made porcelain shells placed over the front surfaces of teeth to correct cracks, stains, gaps, or uneven teeth. They provide a durable, natural-looking solution for creating a brighter, more uniform smile.
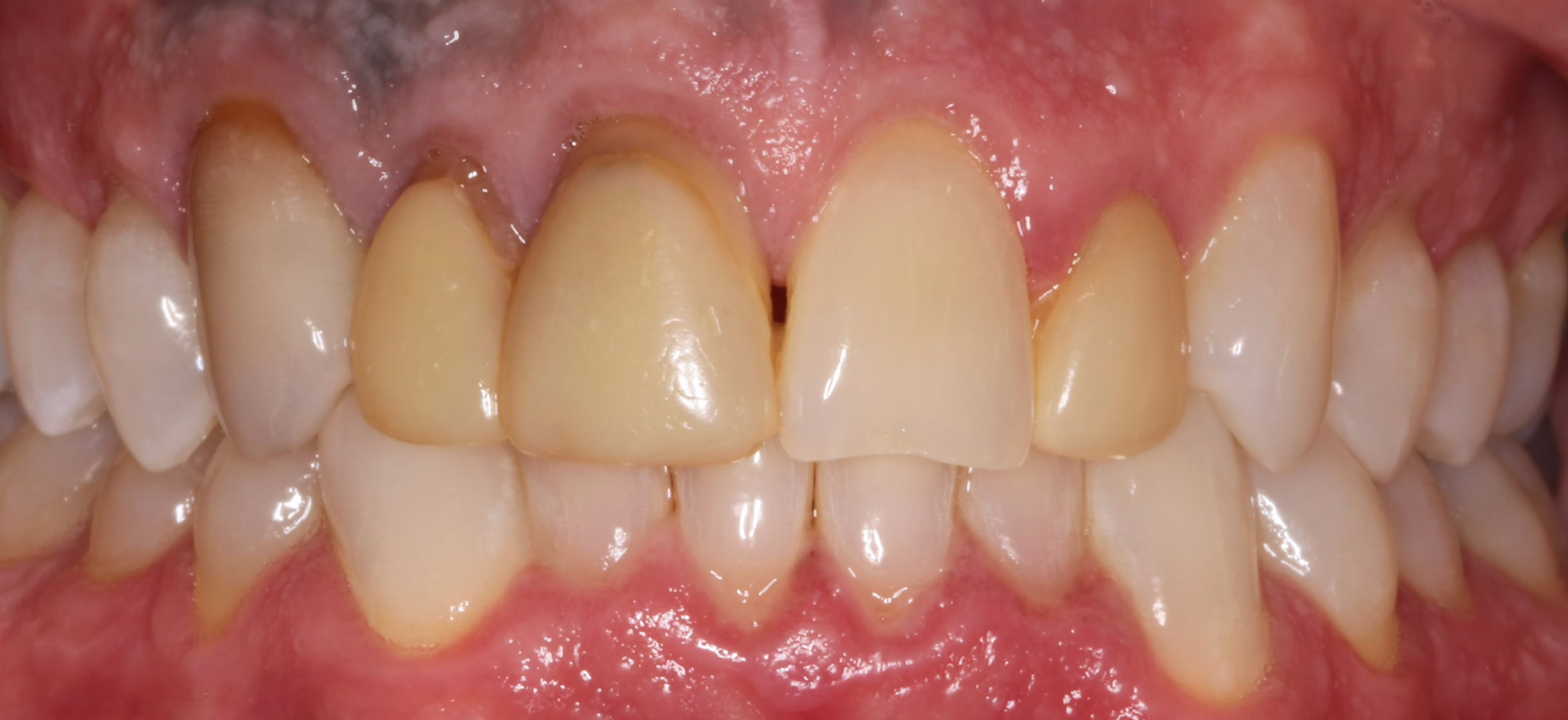
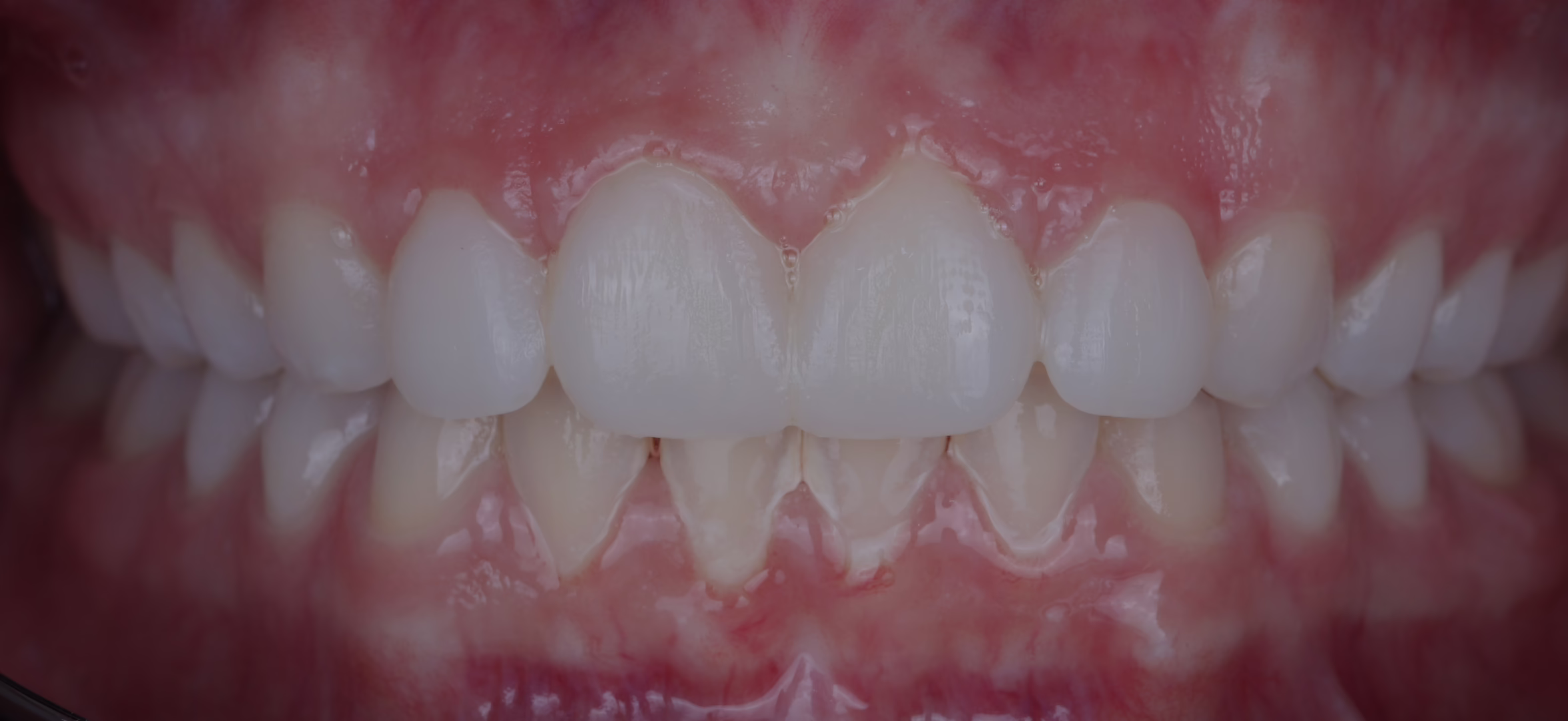
Crowns
Dental crowns are custom-made restorations designed to improve the appearance of misshapen, discolored, or severely stained teeth, helping to create a more natural and aesthetically pleasing smile by covering the visible portion of the tooth with a carefully crafted and color-matched crown.
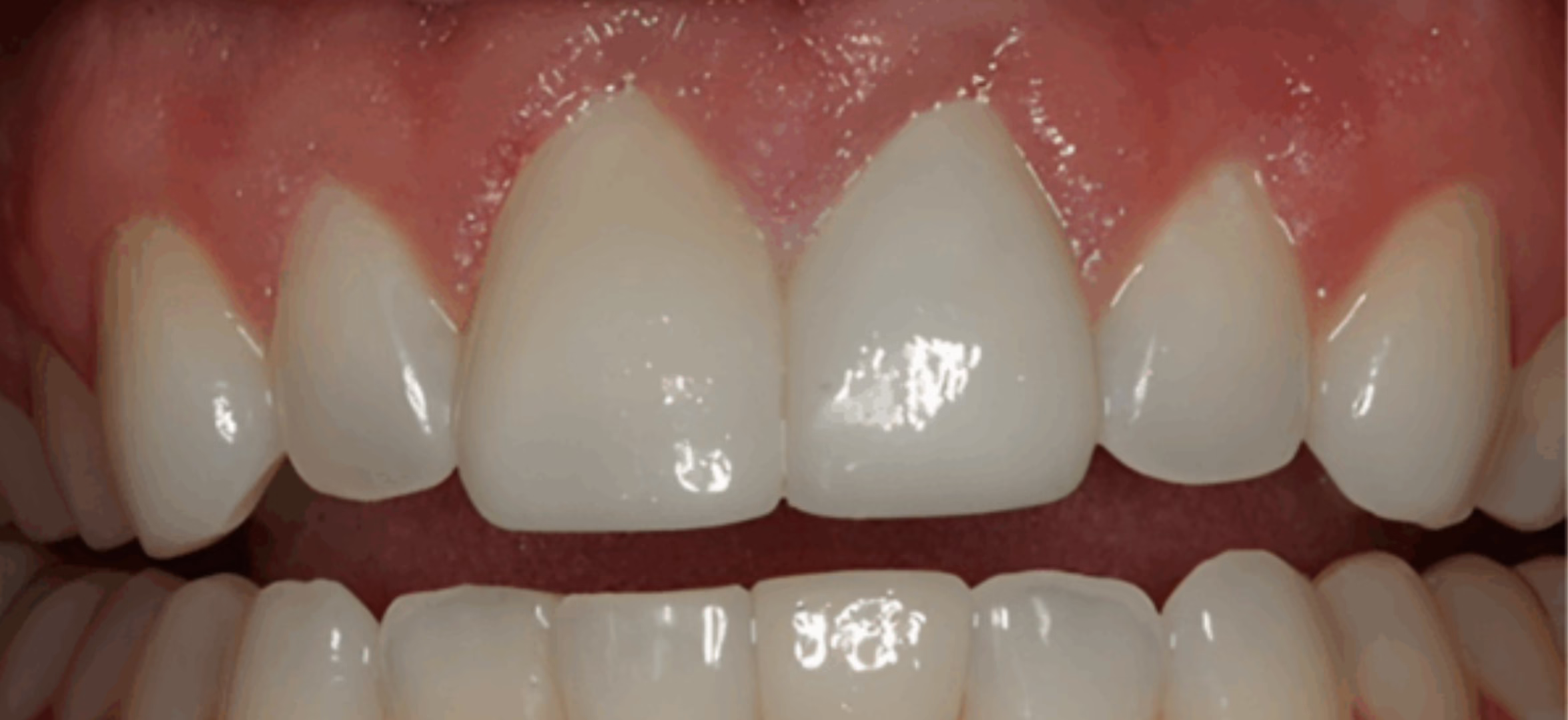
Fixed Implant Bridges
Fixed implant bridges are a permanent solution that replace multiple missing teeth by attaching a custom prosthesis to dental implants. They offer a secure, natural-looking smile, and with “Teeth in a Day,” patients can often receive their new teeth in just one visit.